صورة من العملية
إزالة قطعة جميد أغلقت مريء طفلة أردنية في مستشفى الجامعة - صور
أجريت أخيرا في مستشفى الجامعة الأردنية عملية تنظير طارئة للجهاز الهضمي، لإزالة قطعة جميد أغلقت تماما مريء طفلة تبلغ من العمر خمس سنوات، قام بها استشاري الجهاز الهضمي والكبد والتغذية الدكتور فريد خضير، يسانده فريق طبي ضم كل من استشاري التخدير الدكتور مصطفى ربابعة، وعدد من مقيمي التخدير وتمريض وحدة التنظير.
وقال الدكتور خضير إن الطفلة راجعت طوارئ المستشفى آخر أيام شهر رمضان المبارك بعد تناولها لقطعة كبيرة من الجميد، بعد شعورها بأن هذه القطعة علقت في المريء ولا تستطيع بلعها، وبعد تقييم حالتها تبين أن نسبة الأكسجين لديها منخفضة إضافة إلى تجمع اللعاب في الفم، مما أثار الشكوك بوجود قطعة الجميد في المريء وإغلاقها مجرى الطعام وضغطها على مجرى التنفس، ليصار إلى تحويلها مباشرة إلى غرفة العمليات لإجراء عملية تنظير للمريء تحت التخدير العام، مع اتخاذ كل الاحتياطات اللازمة في حالة الحاجة إلى عمل تنظير للقنوات التنفسية أو إجراء تداخل جراحي، وذلك بالتنسيق مع استشاري جراحة الأطفال الدكتور رائد الطاهر.

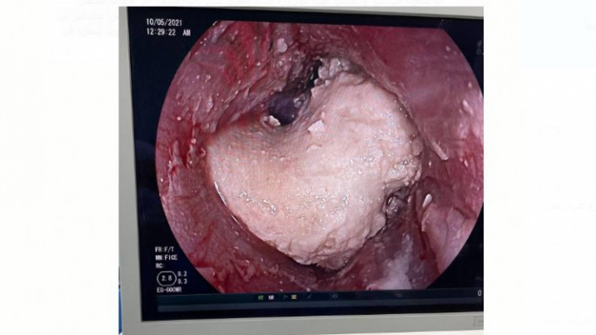
وبين الدكتور خضير أن التنظير قد أظهر وجود قطعة الجميد في المريء مغلقة إياه تماما، وتم محاولة إزالتها باستخدام الملقط الخاص بإزالة الأجسام الصلبة (Rat tooth forceps) و (Polypectomy snare) بالإضافة إلى استخدام الماء الدافىء لتذويبها.
وبعد مرور ما يزيد على ساعتين تمكن الفريق من عمل فتحة صغيرة في طرف قطعة الجميد وإدخال بالون صغير من خلالها يستخدم عادة في توسعة القنوات الصفراوية (ERCP balloon)، حيث تم إدخال البالون من خلال قطعة الجميد إلى أسفل منها، وبعد نفخ البالون وتحريكه بدأت قطعه الجميد بالتكسر تدريجيا، واستمر العمل بعد ذلك لتفتيت القطعة الصلبة إلى أجزاء صغيرة، وإزالة جزء من قطعة الجميد خارج المريء ودفع الجزء المتبقي من القطعه إلى المعدة.

وأضافة الدكتور خضير بأن الطفلة غادرت المستشفى بصحة جيدة بعد يوم من إجراء العملية، ودون وجود أي صعوبة في البلع أو التنفس.
وأهاب بضرورة انتباه الأهالي بشكل دائم ومستمر إلى الأطفال الصغار ومراقبتهم بشكل جيد لضمان عدم ابتلاعهم لما قد يؤذيهم، إذ أن طوارئ الأطفال تستقبل سنويا عدد كبير من الأطفال ممن يعانون من وجود أجسام صلبة تعمل على تهيج المريء الذي قد يؤدي إلى حدوث صعوبة في التنفس لديهم.

