استئصال ورم وداجي دماغي لسيدة في مدينة الحسين الطبية
الأردن.. استئصال ورم وداجي دماغي لسيدة في مدينة الحسين الطبية - صور
تمكن فريق مشترك من اطباء الاذنية واطباء جراحة الدماغ والاعصاب واطباء الاوعية الدموية والشرايين، من اجراء عملية نادرة ومعقدة تمثلت باستئصال ورم وداجي دماغي لمريضة تبلغ من العمر 50 عاما.
وتاتي هذه العملية استكمالا للعمليات الجراحية النوعية والنادرة التي تجرى في الخدمات الطبية الملكية التي تضم عدة مراكز وفرق طبية متخصصة ومتكاملة قادرة على التعامل مع مختلف الحالات الصعبة والمعقدة والتي تحتاج لمراكز عالمية متقدمة.
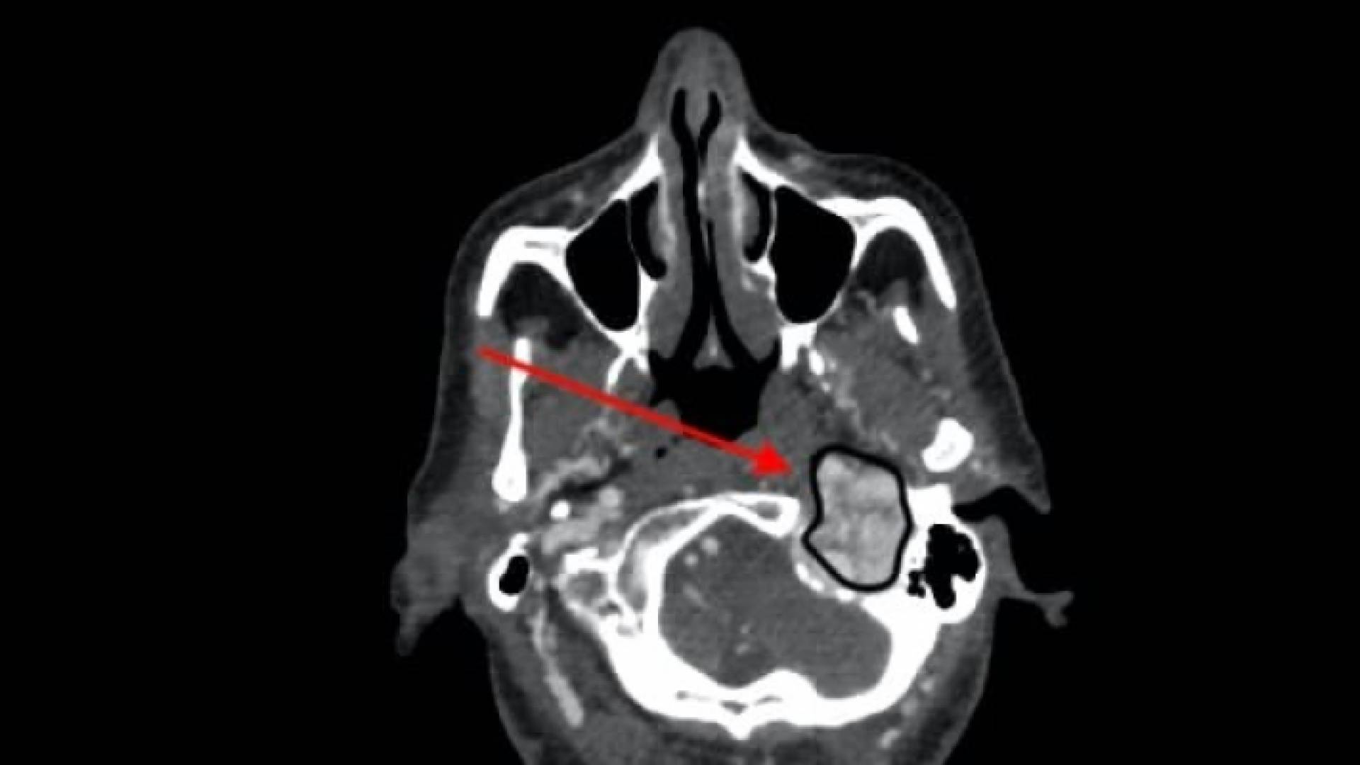
وبين اعضاء الفريق الطبي ان المريضة تعاني من خمسة اورام مستقتمات متزامنة، في الرقبة وقاع الجمجمة والصدر الامر الذي يعتبر نادر الحدوث عالميا. واوضح العقيد الطبيب امجد العسعس مستشار الانف والاذن والحنجرة وقاع الجمجمة ان هذه الحالة لاستئصال الاورام الدماغية الوداجية والأورام الكبية الطبلية تعد الحالة الخامسة التي تجرى من قبل فريق جراحة اورام قاع الجمجمة في مدينة الحسين الطبية.
وذكر مستشار جراحة الدماغ والاعصاب العقيد الطبيب زهير أبو سلمى ان وجود فرق طبية متخصصة في مدينة الحسين الطبية في مجال (الانف والاذن والحنجرة، جراحة الدماغ والاعصاب، جراحة الأوعية الدموية والشرايين، الغدد الصماء، التخدير والعناية الحثيثة، الاشعة التداخلية) إضافة إلى التمريض المتخصص والفنيين اصحاب الخبرة، يشكل نوعا من التكاملية ويساهم باجراء عمليات جراحية كبرى ومعقدة، حيث تعتبر الخدمات الطبية الملكية احد المراكز التحويلية في المنطقة والاقليم، والمؤسسة الصحية الوحيدة التي تجرى فيها مثل هذا النوع من الجراحات المتقدمة.
من جانبه بين مستشار جراحة الاوعية الدموية والشرايين العقيد الطبيب جان الشيشاني والمقدم الطبيب محمد الرشايده ان المريضة اجريت لها عملية سابقة تم فيها استئصال ورم الجسم السباتي من الرقبة وسيتم في المرحلة القادمة استئصال ورم سباتي اخر للجهة الاخرى من الرقبة.




