فحص بالأشعة المقطعية للجنين الموجود داخل بطن المرأة
هندية عاشت مع "توأم" بداخلها لمدة 17 عاما
عاشت شابة في الهند مع أحد أكثر الحالات الطبية ندرة والأكثر إثارة للقلق منذ ما يقرب من عقدين.
وبحسب التقرير الذي نشرته "gizmodo" فقد كان لدى الشابةكيس يحتوي على "توأم" لا يزال ينمو في بطنها لمدة 17 عاما، وكان لدى التوأم الشعر والأسنان وحتى العمود الفقري.
ويقول أطبائها إن هذه الحالة تعرف رسميا باسم الجنين في الجنين، وهو شذوذ خلقي ينمو خلاله جنين مشوه ومتطفل داخل جسد جنين آخر في وقت مبكر جدا من الحمل، لا يستمر الجنين في تطوير نظامه العصبي وعقله، لكنه لا يزال قادرا على العيش، ويدعم نفسه من خلال أخيه، ليصبح أساسا طفيليا.
وهناك نظرية أخرى تقول أن "الجنين" الثاني هو في الواقع شكل معقد من الأورام يسمى المسخي. يمكن لهذه الأورام تطوير أنواع مختلفة من الأنسجة في وقت واحد، بما في ذلك الشعر والأسنان.
بغض النظر عن كيفية حدوث الحالة ، فإنها عادة ما تنتهي بالإجهاض، بسبب عدم توفر تغذية كافية للجنين السليم. ولكن حتى عندما ينجو شخص ما، عادة ما يتم اكتشاف الحالة بسرعة بعد الولادة أو في مرحلة الطفولة المبكرة. قبل هذه الحالة ، وفقا لأطباء النسائية ، لم يكن هناك سوى سبع حالات أخرى مبلغ عنها للبالغين المصابين بتوأم جنيني. وحتى الآن ، كانوا جميعا رجالا.
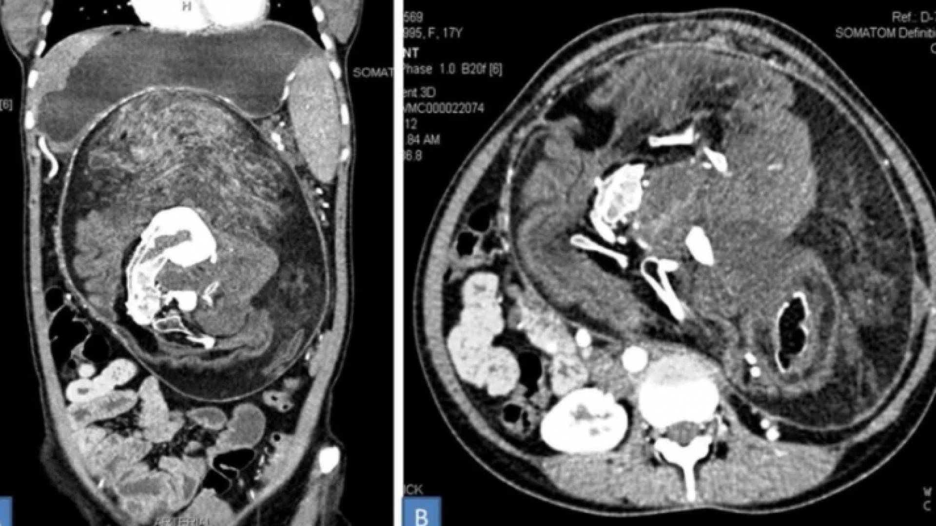
بدأت الحالة المرضية للمرأة ، المفصلة من قبل أطبائها في تقارير حالة BMJ ، قبل خمس سنوات من زيارتها. عندها لاحظت هي وعائلتها أنها كانت مصابة بكسر شديد حول بطنها. على مدى السنوات الخمس المقبلة ، نما حجم الورم تدريجيا وتسبب في ألمها بشكل دوري. بحلول الوقت الذي قامت فيه الشابة التي كانت في ذلك الوقت البالغة من العمر 17 عاما بزيارة الأطباء ، لم تكن قادرة على تناول الكثير قبل الشعور بالشبع ، على الأرجح لأن الورم قد بدأ يضغط على أعضائها الداخلية.
في الفحص البدني الأولي ، كان يشتبه في أن الورم هو ورم. وهو بمعنى ما كان عليه. ولكن عندما قاموا بإجراء فحص CAT على المقطوع ، وجدوا رواسب من الكالسيوم تبدو "على شكل فقرات وضلوع وعظام طويلة" ، وفي النهاية تم اكتشاف الحقيقة الأكثر رعبا. ثم ذهب الأطباء للعمل على إزالته.
ووفقا للتقرير ، فإن محتويات الورم "تتألف من الشعر والعظام الناضجة وأجزاء الجسم الأخرى". وشملت هذه الأجزاء من الجسم "أسنان وهياكل متعددة تشبه براعم الأطراف". كما أن حجمها الهائل - 36 × 16 × 10 سم - سيكون أيضا اجعله الأكبر على الإطلاق في حالة الجنين البالغ في الجنين.
لحسن الحظ، عادت المرأة إلى الشفاء العاجل والهادئ ، وبعد عامين لا تزال في حالة جيدة.
وكتبت بالتقرير: "أشعر أنني بحالة جيدة للغاية وبطنتي الآن مسطح ووالدي سعداء للغاية".
