رجل يصدم الأطباء بـ"مقتنيات غريبة" في معدته
رجل يصدم الأطباء بـ"مقتنيات غريبة" في معدته
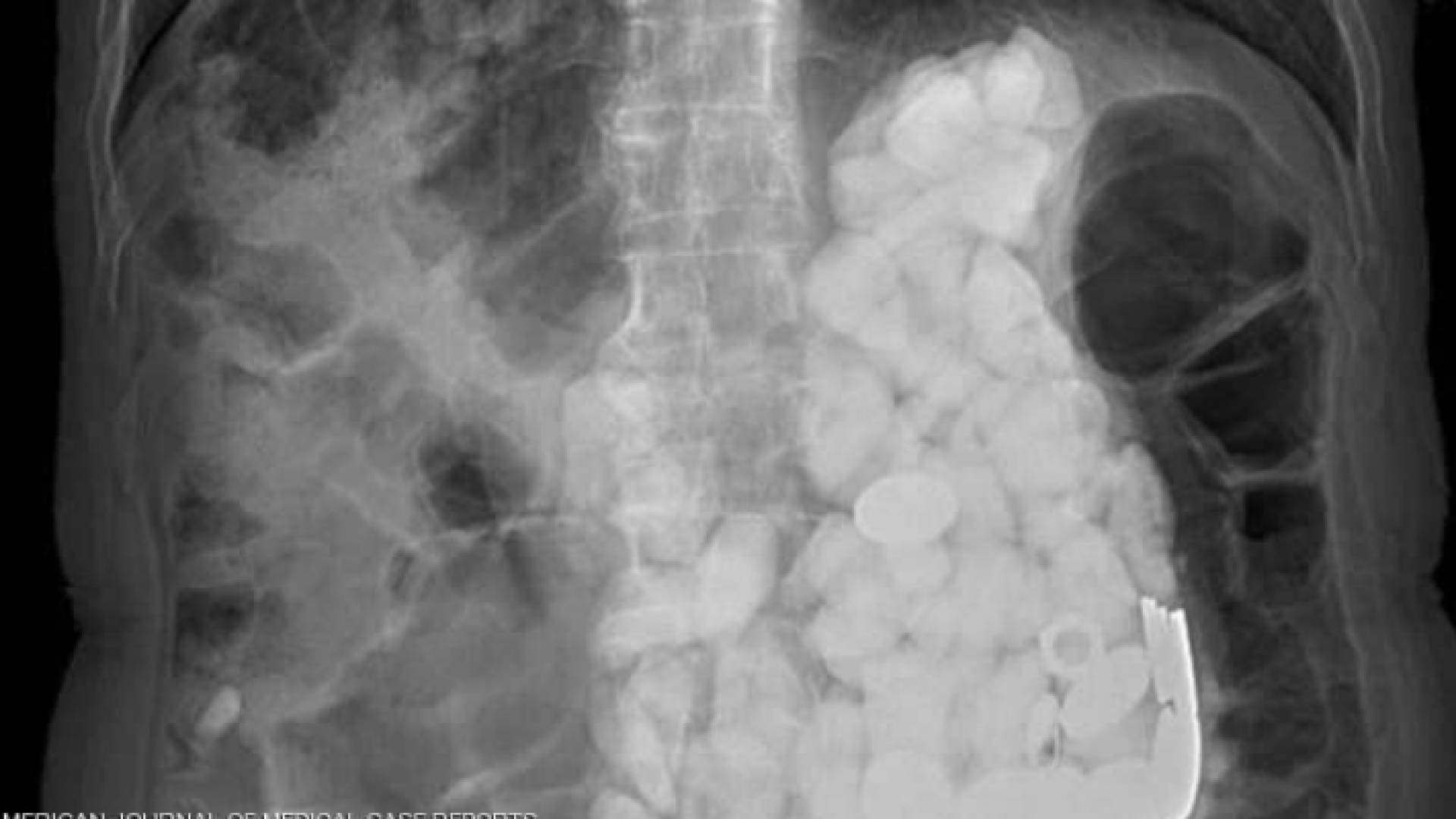
تفاجئ أطباء بعدما عثروا على مجموعة من الحجارة وأغطية زجاجات ونقود معدنية في معدة مريض، أجروا له عملية جراحية لإخراجها بعد أن تناولها أثناء تعرضه لنوبات قلق.
وأدخل المريض الكوري البالغ من العمر 54 عاما إلى المستشفى، وهو يعاني آلاما حادة وانتفاخا في المعدة.
وأجرى أطباء بمستشفى Ilsan Paik بجامعة إنجي الكورية الجنوبية، مجموعة من الفحوصات لمعرفة السبب الكامن وراء هذه الأعراض، حيث شعروا بشيء يشبه الحجارة عند لمس بطنه، واكتشفوا تراكم أجسام في المعدة كلها يصل وزنها إلى كيلوغرامين.
ووفق ما ذكرت صحيفة "ميرور" البريطانية، الأربعاء، فإن المريض أخبر الأطباء أنه ابتلع هذه الأجسام الغريبة خلال فترة زمنية طويلة كطريقة للتعامل مع القلق، رغم تناوله للأدوية المضادة لها أيضا.
ولم تفلح محاولات الأطباء في إخراج الأجسام من معدة الرجل الذي ولد بإعاقة ذهنية، باستخدام طريقة المنظار نظرا لكثرتها، مما دفعهم للحل الجراحي.
وقد أثمرت جهود الطاقم الطبي في تخليص المريض من آلامه، حيث غادر المستشفى بعد إقامته فيها لمدة 9 أيام.
